kurse

Creation ZI-CT
Rastede
Stefan Picha
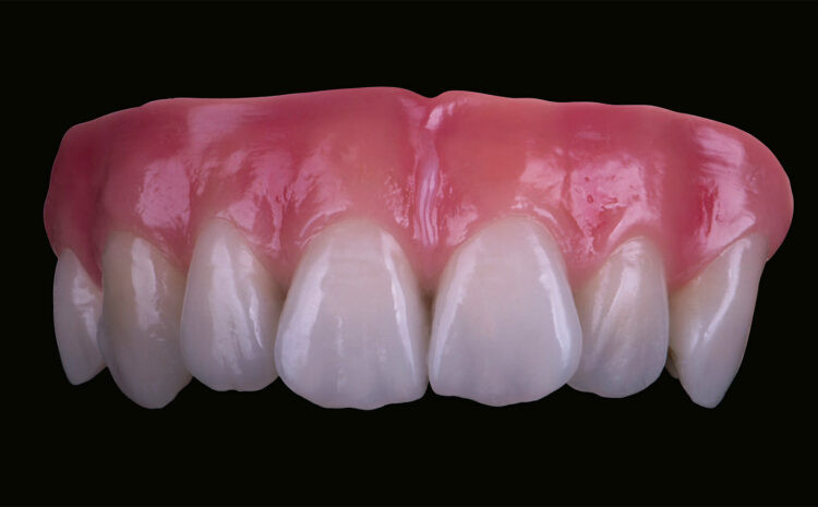
Teeth & tissue – Meisterkurs „Individuelle Zahnfleischgestaltung“
Komplexe Arbeiten gelingen am besten mit Struktur: In diesem Meisterkurs geht es um die vollkeramische Schichtung einer sechsgliedrigen Frontzahnbrücke
17.02. – 19.02.2022
Details

Creation ZI-CT
Rastede
Stefan Picha
Beispielkurs
Komplexe Arbeiten gelingen am besten mit Struktur: In diesem Meisterkurs geht es um die vollkeramische Schichtung einer sechsgliedrigen Frontzahnbrücke
17.02. – 19.02.2022
Details

Creation ZI-CT
Münster
Andreas Nolte
Frontzahnformen I: Der zentrale Inzisivus – Die Einzelzahnrekonstruktion
Mustererkennung: Sehen, verstehen und kopieren!
Die Form hat einen erheblichen Einfluss auf das Erscheinungsbild von Frontzähnen und somit einen
18.03. – 19.03.2022
Details

Creation ZI-CT
Dresden
Alexander Conzmann
Zweiteilige Kursreihe: High Performance with Creation ZI-CT (Teil 1)
Erst das Fundament, dann das Haus!
Sie möchten sich für den Laboralltag mit Creation rüsten und Ihre Arbeiten in einem noch besseren Licht stehen
01.04. – 02.04.2022
Details

Creation VC
Weikersheim
Hans-Joachim Lotz
Composite – makes my day! 1,5-Tages-Workshop mit Jockel Lotz
Wurden in der Vergangenheit nur Teleskoparbeiten und provisorische Versorgungen in Kunststoff geschichtet, rücken heute die Möglichkeiten,
22.04. – 23.04.2022
Details

Creation VC
Weikersheim
Hans-Joachim Lotz
Composite – makes my day! 1,5-Tages-Workshop mit Jockel Lotz
Wurden in der Vergangenheit nur Teleskoparbeiten und provisorische Versorgungen in Kunststoff geschichtet, rücken heute die Möglichkeiten,
10.06. – 11.06.2022
Details

Creation ZI-CT
Dresden
Alexander Conzmann
Zweiteilige Kursreihe: High Performance with Creation ZI-CT (Teil 2)
3D-Drucken? Wir schichten 3D!
Im zweiten Teil wird alles aus der Keramik herausgeholt – von der Steuerung des Helligkeitswerts zu den
23.09. – 24.09.2022
Details