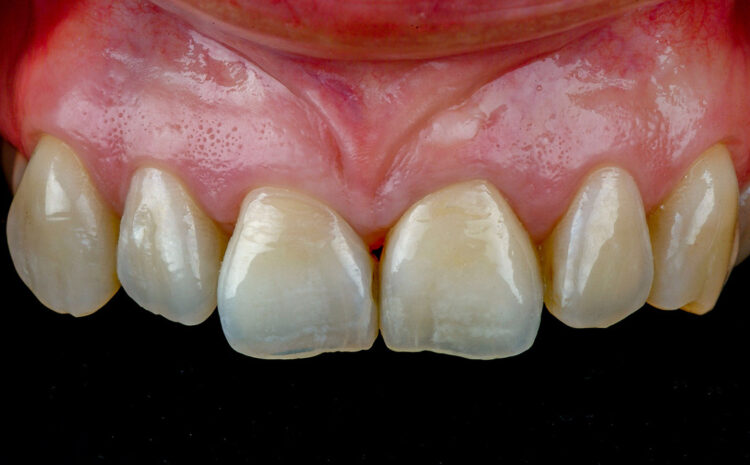
simply brilliant
Eine individuelle Zahnästhetik hat mit Leben zu tun; handwerkliche Grundlagen und Richtlinien nützen nichts, wenn die Leidenschaft fehlt!
Unsere Referenten geben Ihnen daher nicht nur ihr profundes zahntechnisches Wissen, sondern auch ihre gelebte Erfahrung und ihr inneres Feuer für Menschen und Materialien weiter. Dann können Sie deren Arbeit intuitiv kopieren, ergänzen und mit Ihrer eigenen Persönlichkeit verflechten – denn jeder Zahnersatz ist ein neuer individueller Auftrag, ein neuer Schöpfungsprozess.
Egal, wo Sie stehen und wohin Sie wollen: Lassen Sie sich von Creation und seinen Möglichkeiten inspirieren und von unseren erfahrenen Referenten begeistern!
Denn Erfahrung ist die Quelle des Erfolgs, erst durch sie lässt sich eine individuelle Qualität und Ästhetik erzielen.
Nächste Kurse

Creation ZI-CT
Münster
Andreas Nolte
Frontzahnformen III: Live-Patientenfall in der Teufelsküche
Patientenfall live! Der Kreis schließt sich. Das Erlernte aus den Frontzahnformenkursen I und II wird direkt an einem Patienten angewendet.
Die drei Kurse, die sowohl für
24.05. – 25.05.2024
details

Creation ZI-CT oder CC
Straubing
Bertrand Thiévent / Stefan Frei
Zwei Referenten – zwei Techniken – zwei Keramiken! Neues Kurskonzept mit Bertrand Thiévent und Stefan Frei
In diesem Kurs demonstrieren die beiden Referenten einen fiktiven Patientenfall anhand einer Fotovorlage. Dabei handelt
07.06. – 08.06.2024
details

Dentale Fotographie
Meiningen, Österreich
Shahab Esfarjani
Dentale Fotographie im Laboralltag mit digitaler Farbnahme und Shade-Matching
Im eintägigen Kurs mit Shahab Esfarjani werden Grundkenntnisse der dentalen Fotografie geschult und ein Konzept vorgestellt, das die wichtigsten
07.06. – 07.06.2024
details

Creation ZI-CT
Bochum
Ömür Pak
Die Hashtag-Technik mit Ömür Pak
Motiviert von diesem Satz des Erfinders der Creation Keramik ist dieses Kurskonzept entstanden. Das Ziel war, ein System zu erarbeiten, das einer einfach zur erlernenden Systematik folgt. Dadurch wird dem Techniker/der
07.06. – 07.06.2024
details

Creation ZI-CT
Berlin
Anthimos Maki Tolomenis
Live-Patientenfall – konzeptionelle Planung und Umsetzung eines realen Patientenfalls
Im Rahmen dieses individualisierten Kurses werden alle für einen spezifischen Fall erforderlichen Schritte direkt an dem Patienten in Echtzeit
07.06. – 08.06.2024
details

Magic Colour / ZI-F / Zolid Bion
Pforzheim
Marcel Koch
Creation Willi Geller und Amann Girrbach – The Perfect Match!
Marcel Koch kam bereits während seiner Zahntechnikerausbildung regelmäßig mit Patienten in Kontakt und konnte sehr viel über die Farbnahme und Wirkung von Zahnersatz im Patientenmund lernen.
13.09. – 13.09.2024
details

Creation ZI-CT
Berlin
Alexander Conzmann
Zweiteilige Kursreihe: High Performance with Creation ZI-CT Teil 1 (Einsteiger)
Erst das Fundament, dann das Haus! Sie möchten sich für den Laboralltag mit Creation rüsten und Ihre Arbeiten in einem noch besseren Licht stehen lassen? Dann können Sie mit diesem
20.09. – 21.09.2024
details

Creation Magic Colour / ZI-CT
Weiden
Anthimos Maki Tolomenis
Pimp my Crown – Struktur und Oberfläche mit Creation Magic Colour
Sie möchten Ihre Kronen zum Leben erwecken und sie in jedem Licht natürlich aussehen lassen? In diesem Kurs werden zwei mittlere Schneidezähne mit Creation ZI-CT
27.09. – 28.09.2024
details

Creation ZI-CT
Ulm
Andreas Nolte
Frontzahnformen: Live-Patientenfall mit Andreas Nolte
In diesem zweitägigen Kurs werden zwei Frontzahnveneers (11,12) auf feuerfesten Stümpfen für einen jungen Patienten hergestellt.
11.10. – 12.10.2024
details

Creation ZI-CT
Bochum
Ömür Pak
Die Hashtag-Technik mit Ömür Pak
Motiviert von diesem Satz des Erfinders der Creation Keramik ist dieses Kurskonzept entstanden. Das Ziel war, ein System zu erarbeiten, das einer einfach zur erlernenden Systematik folgt. Dadurch wird dem Techniker/der
11.10. – 11.10.2024
details

Magic Colour / ZI-F / Zolid Bion
Pforzheim
Hubert Schenk
Creation Willi Geller und Amann Girrbach – The Perfect Match!
Kursreferent und Oral Design Mitglied Hubert Schenk verkörpert die Essenz von Fachkenntnissen, Leidenschaft und inspirierender Lehre im Bereich der Zahntechnik. Als Experte auf seinem
18.10. – 18.10.2024
details

Magic Colour / ZI-F / Zolid Bion
Pforzheim
Hanna Raffel
Creation Willi Geller und Amann Girrbach – The Perfect Match!
Die Kursreferentin Hanna Raffel gehört zur jungen Generation von ZahntechnikerInnen, die das Zahntechnikerhandwerk mit den digitalen Prozessen erlernt hat und die
08.11. – 08.11.2024
details

Creation ZI-CT
Ulm
Alexander Conzmann
Zweiteilige Kursreihe: High Performance with Creation ZI-CT Teil 2 (Fortgeschrittene)
3D-Drucken? Wir schichten 3D! Im zweiten Teil wird alles aus der Keramik herausgeholt – von der Steuerung des Helligkeitswerts zu den Transluzenzen
15.11. – 16.11.2024
details

Creation ZI-CT
Straubing
Thomas Stefan Sing
Frontzahnkurs mit Thomas Stefan Sing
Bei der Herstellung ästhetischer und funktionaler Keramiklösungen geht es um Inspiration, Motivation, Emotion und Leidenschaft. Mit seiner einzigartigen Perspektive auf diese wesentlichen Facetten der Keramikkunst und
22.11. – 23.11.2024
details

Creation ZI-CT
Münster
Andreas Nolte
Frontzahnformen I: Der zentrale Inzisivus – die Einzelzahnrekonstruktion
Xmas-Kurs! – Die Form hat einen erheblichen Einfluss auf das Erscheinungsbild von Frontzähnen und somit einen entscheidenden Anteil am Erfolg unserer Arbeit. Die Form fängt
22.11. – 23.11.2024
details

Creation ZI-CT
Berlin
Alexander Conzmann
Zweiteilige Kursreihe: High Performance with Creation ZI-CT Teil 2 (Fortgeschrittene)
3D-Drucken? Wir schichten 3D! Im zweiten Teil wird alles aus der Keramik herausgeholt – von der Steuerung des Helligkeitswerts zu den Transluzenzen
24.01. – 25.01.2025
details
Alle Kurse
„Das Wissen um zahntechnische Materialien und die Anatomie des menschlichen Körpers, gepaart mit der Geschicklichkeit und der Kreativität unserer Hände und der Leidenschaft in unserem Herzen macht jeden Zahntechniker mehr oder weniger zu einem Kunstschöpfer und damit auch zu einem Spezialisten für ästhetischen Zahnersatz.“
Willi Geller
„Woraus beziehe ich meine Inspiration und Motivation? Aus dem Menschen, der hinter dem Patientennamen steht, der Wünsche, Erwartungen und Ängste hat. Meine Arbeit kann nur zu seiner Persönlichkeit passen, wenn ich mich mit ihm vorab auseinandergesetzt und ihn mit ins Boot geholt habe. Kurz: Besser VORdenken und ausführlich besprechen als NACHdenken und am Ende verwerfen!“
Ilka Johannemann, Münster
„Die Natur ist einzigartig, sie zu kopieren, erfordert die Kraft aller Beteiligten – also nicht nur die des Zahntechnikers, sondern auch des Zahnarztes und des Patienten. Ich frage mich ständig: Was ist für eine hochästhetische Versorgung von allen Seiten notwendig? Was ist überflüssig? Wo sind die Grenzen gesetzt und was sollte der Techniker alles wissen, damit er versteht, warum manches einfach nicht geht.“
Stefan Picha, oral design Fürth
„Unsere Keramik (unser Handwerk) ist wie ein Orchester, das man anleiten kann; wenn man die Kunst des Dirigierens versteht, kann eine wunderschöne Sinfonie entstehen. Lasst uns daher auf der Klaviatur der Farben spielen!“
Alexander Conzmann, Erkenbrechtsweiler
“Never try to create a perfect crown. Perfection will destroy the natural appearance of your work at the end. Try to copy nature! Nature is not perfect; nature is chaos in balance!”
Thomas Stefan Sing, München
“Das Leben hat mir ein fantastisches Netzwerk gegeben, in dem ich mich mit Gleichgesinnten austauschen kann, es hat mir aber auch gezeigt, dass es mehr gibt, als die Zahntechnik abzuarbeiten und zu funktionieren. Wenn man mehr will, muss man dem Leben Luft geben! Ich muss akzeptieren, dass es Tage gibt, an denen ich eine Superarbeit abliefere, und dass es Tage gibt, an denen ich weit davon entfernt bin, brillant zu sein. Ich kann nicht immer kreativ sein. Das muss ich akzeptieren.”
Hubert Schenk, München
„Kein Meister fällt vom Himmel und keine Krone so einfach aus der Maschine: Das Festhalten an metrischen Daten und mathematischen Formeln reicht für die Erarbeitung einer Restauration nicht aus. Wir sollten lieber das große Ganze betrachten, Dinge konstruktiv hinterfragen und sie dann mit persönlicher Hingabe angehen.“
Jan-Holger Bellmann, Rastede
„Wie können wir es schaffen, Motivation oder Inspiration aus einem Gipsmodell, einem nüchternen Datensatz oder aus „Farbe A2“ zu ziehen? Kein leichtes Unterfangen – schon gar nicht, wenn man den Patienten nicht zu Gesicht bekommt. Zahntechnik besteht nicht nur aus Zahlen und Fakten, sie ist beziehungsweise kann viel mehr sein! Der Schlüssel hierzu ist immer der Patient – und das heißt: Zuhören, ausdenken, ausprobieren, verwerfen, neu denken…“
Uwe Gehringer, München
Voriger
Nächster






















